Sydney Neuroimaging Analysis Centre, an integrated neuroimaging research and commercial medical image analysis facility within the University of Sydney’s Brain and Mind Centre, has secured government grant funding to market its AI-powered software for analysing and monitoring brain diseases.
It also announced on 5 July that it obtained the Therapeutic Goods Administration's clearance for its flagship product, iQ-solutions.
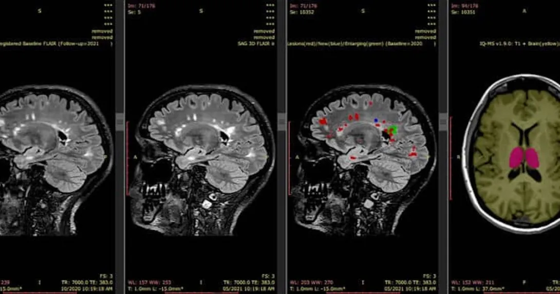
WHAT IT'S FOR
Over the next 16 months, SNAC will receive A$3.75 million ($2.5 million) in equity-free funding from ANDHealth+, a digital health accelerator programme backed by the federal government's Medical Research Future Fund.
The funding will help scale and accelerate the commercialisation of its AI-enabled medical imaging software. iQ-solutions provides quantitative analysis of brain structures from MRI scans. It enables the precise and personalised monitoring and management of brain diseases, including multiple sclerosis and dementia.
"Our flagship tool, iQ-Solutions, supports radiologists to improve the detection and quantitation of new brain inflammation in patients with multiple sclerosis, which may prompt clinicians to recommend a change in therapy to prevent future disability," explained Michael Barnett, University of Sydney professor and co-founder of SNAC.
SNAC also develops a data informatics platform, Torana, which is used for managing, routing and databasing medical scans, and VeriScout, an AI-based software that automatically detects and triages cerebral haemorrhage in brain CT scans.
At present, SNAC's VeriScout and iQ-solutions are deployed at St Vincent's Hospital Sydney as part of the hospital's large-scale implementation of AI clinical applications.
THE LARGER TREND
The latest TGA approval comes over half a year since SNAC received a 510(k) clearance from the United States Food and Drug Administration for iQ-solutions.
With two global market clearances, SNAC looks to take a slice of the $250 million brain image analysis market, which growth lies in the growing prevalence of neurological disorders and the increasing demand for quantitative neuroimaging. SNAC plans to sell its AI solution as a SaaS on a subscription basis.
